Manchas Dentales: Comprendiendo sus Causas y Cómo Eliminarla

Las manchas dentales son una preocupación común que afecta tanto a la estética como a la salud bucodental. Estas manchas pueden aparecer debido a diversos factores y, aunque a menudo se consideran simplemente un problema estético, también pueden ser indicativas de problemas subyacentes en los dientes. En este artículo, te ayudaremos a comprender las causas […]
Decoloración Dental: Técnicas de Blanqueamiento Efectivas

La sonrisa es nuestra carta de presentación, pero ¿qué ocurre cuando nuestros dientes pierden su color natural? La decoloración dental es un problema común que afecta a muchas personas, y la búsqueda de soluciones efectivas es constante. En este artículo, vamos a explorar las principales causas de la decoloración dental, las técnicas de blanqueamiento más […]
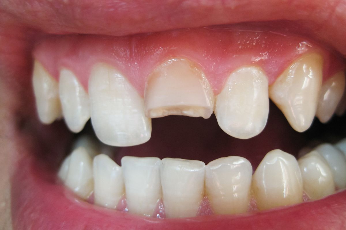
Reconstrucción Dental: Soluciones Estéticas y Funcionales para Dientes Fracturados

La salud dental es fundamental para mantener una buena calidad de vida, pero ¿qué sucede cuando un accidente o enfermedad afecta la integridad de nuestros dientes? En la Clínica Dental Equipo de la Torre, ubicada en el barrio de Tetuán, Madrid, entendemos la importancia de contar con una dentadura saludable. ¿Qué es la reconstrucción dental? […]
Desalineaciones Dentales: Entiende cuándo Optar por Ortodoncia

Enfrentar problemas de alineación dental puede ser más común de lo que piensas, afectando tanto la estética de tu sonrisa como tu salud bucal. La ortodoncia se presenta como una solución efectiva para corregir estas irregularidades, pero ¿cómo saber si realmente necesitas este tratamiento? ¿Qué Son las Desalineaciones Dentales? Las desalineaciones dentales ocurren cuando los […]
Pérdida de dientes: soluciones modernas para una boca funcional

La pérdida o daño de dientes afecta significativamente no solo a la estética de nuestra sonrisa, sino también a nuestra salud bucal y autoestima. Afortunadamente, existen variadas soluciones dentales que te permiten recuperar una mandíbula saludable y radiante. ¿Por qué es Importante Restaurar la Sonrisa? Más allá de su función estética, una sonrisa completa es […]
Atrofia ósea: soluciones innovadoras con implantes dentales

La pérdida de piezas dentales es un problema que afecta a miles de personas en todo el mundo, derivando no solo en una cuestión estética, sino también en complicaciones funcionales para la salud bucodental. Cuando esta pérdida viene acompañada de atrofia ósea, el desafío se intensifica. Las soluciones tradicionales muchas veces no logran ofrecer resultados […]
Caries profunda: Tratamientos modernos y efectivos

La salud dental es una parte crucial de nuestro bienestar general, y uno de los problemas más comunes que las personas enfrentan es la caries dental. Las caries profundas, en particular, pueden causar dolor significativo y requieren atención dental inmediata. En este artículo, exploraremos qué son las caries profundas, sus síntomas, cómo se pueden tratar […]
Desgaste Dental: Soluciones y Tratamientos Modernos

En algún momento de nuestras vidas, muchos de nosotros enfrentamos el problema del desgaste dental, que puede afectar tanto la estética como la funcionalidad de nuestra dentadura. Este artículo busca ofrecer información clara y confiable sobre las causas, consecuencias y soluciones disponibles, especialmente si consideras visitar una clínica profesional en Madrid, como la Clínica Dental […]
Traumatismo Dental: Qué Hacer y Consejos para la Recuperación

Las lesiones dentales son situaciones comunes que pueden ocurrir inesperadamente, ya sea durante una actividad deportiva, un accidente o incluso por un simple tropiezo. Saber cómo actuar frente a un traumatismo dental es clave para minimizar los daños y asegurar una recuperación efectiva. ¿Qué es un Traumatismo Dental? Un traumatismo dental se refiere a cualquier […]
La Importancia de una Buena Salud Dental Infantil: Consejos y Beneficios

La salud dental infantil es fundamental para asegurar el bienestar de los más pequeños. No solo afecta su capacidad para comer y hablar correctamente, sino que también impacta en su confianza y desarrollo social. ¿Por Qué es Crucial Cuidar la Salud Dental Infantil? La prevención de enfermedades dentales desde temprana edad es esencial. La Dra. […]