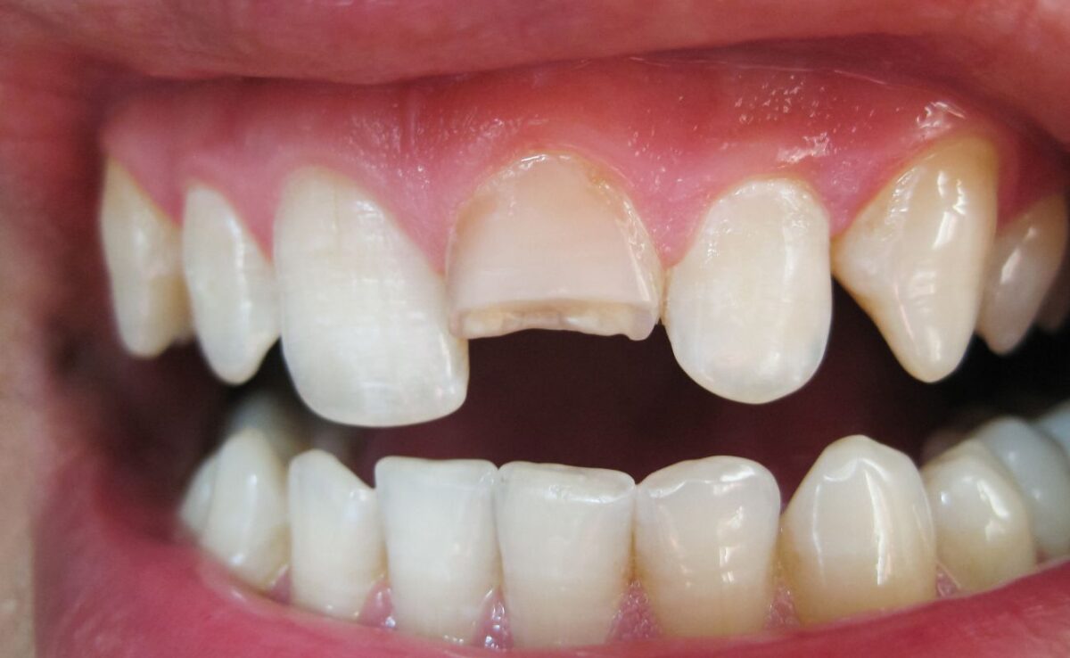
¿Qué Son los Dientes Astillados o Rotos?
Los dientes astillados o rotos son fracturas que pueden ocurrir debido a un golpe fuerte, masticar objetos duros o por la presencia de caries que debilitan la estructura dental. Este tipo de daño puede variar desde pequeñas astillas que apenas son visibles hasta fracturas más significativas que comprometen la integridad del diente.

Signos y Síntomas de los Dientes Astillados o Rotos
Dependiendo de la severidad del daño, los síntomas de un diente astillado o roto pueden incluir:
- Dolor agudo al morder o al exponer el diente a temperaturas extremas.
- Sensibilidad dental que se manifiesta al consumir alimentos o bebidas frías, calientes o dulces.
- Aspereza al pasar la lengua sobre el diente afectado debido a los bordes irregulares.
- Inflamación en las encías alrededor del diente dañado, que puede ser un indicativo de una fractura más profunda.
Diagnóstico: ¿Cómo Saber si Tienes un Diente Astillado o Roto?
El diagnóstico de un diente astillado o roto es generalmente realizado durante una evaluación clínica por parte de un dentista. Utilizando exámenes visuales y radiografías, el dentista puede identificar la extensión del daño y determinar si la fractura ha afectado la raíz del diente o la pulpa dental. En algunos casos, se pueden usar técnicas de luz especial para detectar fisuras que no son visibles a simple vista.
Opciones de Tratamiento para Dientes Astillados o Rotos
El tratamiento para dientes astillados o rotos varía según la gravedad de la fractura y puede incluir:
- Empastes o resinas compuestas: Para reparaciones menores, se utiliza un material del color del diente para restaurar su forma y función.
- Carillas dentales: Son finas capas de porcelana o composite que se colocan en la superficie frontal del diente para reparar daños estéticos.
- Coronas dentales: Se colocan sobre el diente dañado para restaurar su forma, tamaño y fuerza, especialmente cuando una gran parte del diente se ha roto.
- Tratamiento de conducto: Si la fractura ha afectado la pulpa dental, puede ser necesario un tratamiento de conducto para eliminar el tejido dañado y proteger el diente.
- Extracción dental: En casos extremos donde el diente está demasiado dañado para ser reparado, puede ser necesaria una extracción.

¿Por Qué Elegir la Clínica Dental Equipo de la Torre para el Tratamiento de Dientes Astillados o Rotos?
En la Clínica Dental Equipo de la Torre, en el distrito de Tetuán, Madrid, contamos con un equipo experto en odontología restauradora que se dedica a la reparación de dientes astillados o rotos. Utilizamos técnicas avanzadas y materiales de alta calidad para asegurar que cada restauración no solo sea funcional, sino también estética y duradera. Nuestro enfoque integral y personalizado garantiza que cada paciente reciba la mejor atención posible, adaptada a sus necesidades específicas.
¿Cómo Solicitar una Cita para Tratar Dientes Astillados o Rotos?
Si tienes un diente astillado o roto, no esperes más para buscar ayuda. Puedes solicitar una cita en la Clínica Dental Equipo de la Torre llamándonos al 915559332, enviándonos un correo electrónico a clinica@equipodelatorre.es, o visitándonos en C. de San Germán, 12, Tetuán, 28020 Madrid. Estamos aquí para ayudarte a restaurar tu sonrisa y tu confianza.