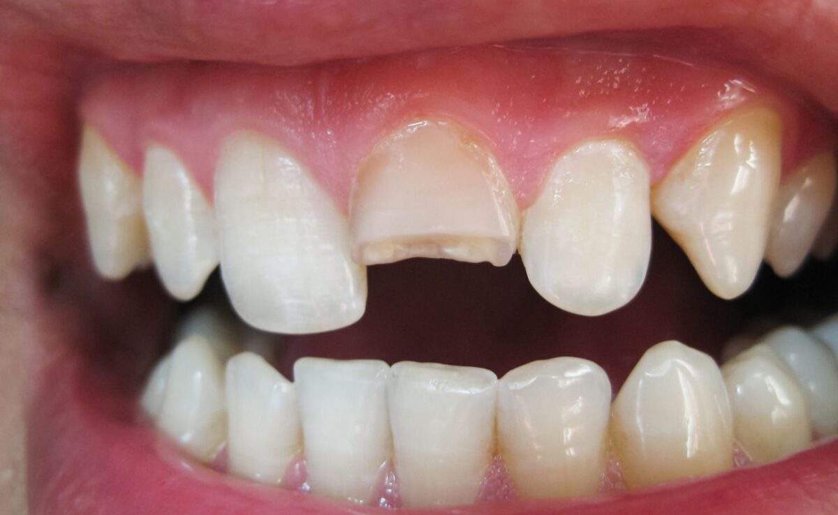
¿Qué Son los Dientes Fracturados?
Los dientes fracturados son dientes que han sufrido alguna fisura o rotura, afectando su estructura y funcionalidad. Esta condición puede ocurrir debido a diversas causas, como accidentes, caídas, mordidas fuertes sobre objetos duros, o como resultado de un desgaste dental progresivo. Las fracturas pueden variar desde pequeñas fisuras en el esmalte hasta roturas más profundas que afectan la dentina o la pulpa dental, lo cual puede poner en riesgo la salud del diente y provocar dolor e infecciones.

Principales Síntomas de los Dientes Fracturados
Los síntomas de un diente fracturado pueden variar según la gravedad y la ubicación de la fractura, pero algunos signos comunes incluyen:
- Dolor al masticar o al liberar la presión de una mordida.
- Sensibilidad al calor, frío o dulces, que puede ser intermitente o constante.
- Inflamación de las encías alrededor del diente afectado.
- Molestia persistente sin una causa aparente, lo que podría indicar una fisura no visible.
Es importante buscar atención dental si experimenta alguno de estos síntomas, ya que una fractura no tratada puede llevar a complicaciones más graves.
¿Cómo se Diagnostican los Dientes Fracturados?
El diagnóstico de un diente fracturado generalmente comienza con una examinación visual del diente y una revisión del historial dental del paciente. El dentista puede usar una variedad de herramientas, como lupas o luz especial, para detectar fisuras no visibles a simple vista. Las radiografías dentales también son útiles para identificar fracturas en la raíz o en partes del diente que están por debajo de la línea de las encías. En algunos casos, se pueden realizar pruebas adicionales para determinar la extensión del daño y planificar el tratamiento adecuado.

Opciones de Tratamiento para los Dientes Fracturados
El tratamiento para los dientes fracturados depende de la gravedad y ubicación de la fractura. Algunas opciones de tratamiento incluyen:
- Sellado dental para fisuras menores, donde se aplica una resina para sellar la grieta y prevenir más daños.
- Coronas dentales, que cubren y protegen un diente dañado para restaurar su forma, función y apariencia.
- Tratamiento de conducto, necesario si la fractura ha llegado a la pulpa dental, para eliminar cualquier infección y salvar el diente.
- Extracción dental en casos donde el daño es tan extenso que no se puede restaurar el diente, seguida de un reemplazo con un implante o puente dental.
¿Por Qué Elegir la Clínica Dental Equipo de la Torre para el Tratamiento de Dientes Fracturados?
En la Clínica Dental Equipo de la Torre, ubicada en Tetuán, Madrid, contamos con un equipo de expertos en la restauración de dientes fracturados. Utilizamos tecnología de vanguardia y técnicas avanzadas para garantizar que cada tratamiento sea efectivo y se adapte a las necesidades individuales de nuestros pacientes. Nuestra prioridad es restaurar tanto la salud como la estética dental, proporcionando soluciones que devuelvan la confianza y funcionalidad a su sonrisa.
¿Cómo Solicitar una Cita?
Si ha sufrido un diente fracturado o sospecha que puede tener uno, no espere a que el problema empeore. Póngase en contacto con la Clínica Dental Equipo de la Torre llamando al 915559332, enviando un correo electrónico a clinica@equipodelatorre.es, o visitándonos en C. de San Germán, 12, Tetuán, 28020 Madrid. Estaremos encantados de ofrecerle una evaluación completa y un plan de tratamiento personalizado.